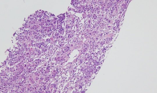
20. Acute hepatitis in a young male
Try to find out the diagnosis!
Login
or
join
to continue and participate.
Utilizamos exclusivamente cookies propias, técnicas y necesarias para el correcto funcionamiento del sitio web. Para más información consulte nuestra
Política de Cookies
Aceptar
20. Acute hepatitis in a young male
Try to find out the diagnosis!
Login or join to continue and participate.